top of page
Home
Services and Products
Crowns+Bridges
Metals
Implants
Removables
Scanner
About Us
Our Staff
Get in Touch
(936) 825-8008
jarvisdentallab@gmail.com
1111 Harlan Rd. Navasota, Texas 77868
SERVICES
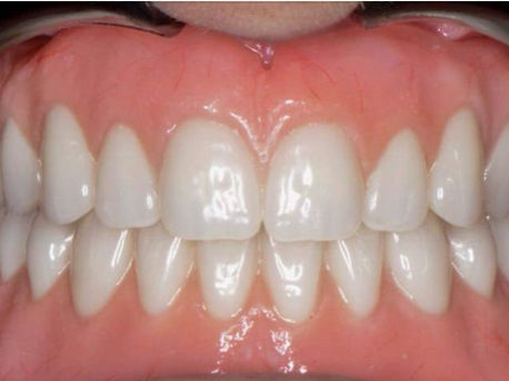
Zirconia Restorations
Read More
Porcelain Layered Zirconia
Highest Esthetic Zirconia
Read More
E.Max
Glass Ceramic Crown
Read More
Veneers
Options for e.max or zirconia
Read More
Porcelain Fused to Metal
Cast Metal Layered with Porcelain
Read More
Implant Crowns and Bridges
Custom Designed Crowns to seat perfectly on your abutments
Read More
Custom Abutments
Patient Specific Abutments
Read More
Precious Metals
Gold Crowns and Bridges
Read More
Diagonistic Wax Ups
beautiful wax ups to display potential restorations
Read More
Non-Precious Metals
Full Contour Metal Crowns
Read More
Nightguards/Essix
Occlusal guards and custom made retainers
Read More
Custom 3-D Models
Read More
Implants
Custom and Stock Abutments
Read More
bottom of page